Anatomy Illustrated
From pixels precision, enhancing medical images with expert detail.

Colorized MRIs of the Spine
Allow our artists to help visualize injuries to key stakeholders.

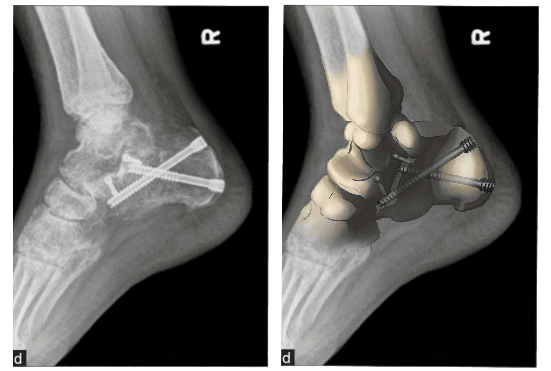
Open Reduction and Internal Fixation
Showcase the hardware and growths impacting bone development post an ORIF.
Focus your viewers
with animation because viewing a colorized image all at once can distract from the story you want to tell with it.
Spotlight Animation
Draw attention to sections.
Ensure you can focus on the important part of a colorized image without hitting a pause button.

Progressive Animation
Display the colorized image as you discuss it.
Slowly display the entire colorized image.

Draw attention to sections.
Ensure you can focus on the important part of a colorized image without hitting a pause button.
Display the colorized image as you discuss it.
Slowly display the entire colorized image.

Our Easy Process
We make it easy to work with us and manage multiple cases at once.
Case Creation
Open a case with us and describe how we can help. You receive regular e-mails throughout our process. If you have questions at any point, just respond to one of those e-mails and we link it to your case.
Contract Initiation
We iniate a contract between all the parties you submit in the case. We handle ensuring all the parties sign the contract ahead of any work beginning.
File Submission
After everyone digitally signs the contract, you'll receive an e-mail requesting to upload all your files.
Illustration
We review your images and illustrate your requests. You can track progress of all your requests on our site.
Delivery
We send you an e-mail with all the final illustrations and send you an invoice.
Simple pricing, for everyone.
Regardless of your anatomic illustration needs, we've got you covered.
Colorized Image
Exactly the parts colorized how you need.
$495
- (+$595) Add-on animation at a later date.
- Bulk discounts available upon request.
Bundle Colorized Image + Animation
Our hot-seller with both a colorized image and an animation.
$895
- A colorized image.
- A tailored animation of the colorized image.
- Bulk discounts available upon request.
Custom Image
Custom surgical hardware and other anatomic illustrations.
$2495+
- Includes a single vertebral segment.
- +$200 for each additional vertebral segment
- Bulk discounts available upon request.
Frequently asked questions
If you can’t find what you’re looking for, email our support team and if you’re lucky someone will get back to you.
Why colorize a diagnostic study?
Colorized images help individuals with no medical training clearly see what a medical professional has spent years, if not decades, learning to spot on a black-and-white study. These studies highlight abnormal pathology and can be used to tell a client medical story.
Aren’t diagnostic studies already colorized?
No, traditional MRIs, CT Scans and x-ray are black-and-white studies. While some newer brain MRI studies utilize color, these are rare. The old insurance and defense saying is black-and-white studies allow us to play in the gray.
What types of diagnostic studies can be colorized?
At this time, Illutamy, Inc is able to colorize x-rays, CT scans and MRIs of cervical, thoracic and lumbar spine. We are also able to colorize surgical hardware that appears on post-operative x-rays. As our software and team continues to develop, we intend to broaden into other regions and tissues of the body.
What is an animated colorized study?
This would be a colorized image that can transition between the black-and-white study and the colorized study. This is an effective tool when presenting at trial with an expert witness or to use during a deposition when aiming to express what a study demonstrates.
What are the benefits to my case in using colorized diagnostic studies?
The saying is medicine is an art not a science. Too often, individuals in the same field can view the same study and come to contradicting opinions. By using colorized studies, you are able to show a decision maker why your expert’s opinions are correct.
Why can’t I have my radiologist colorize the diagnostic study for me?
While some radiologists have the ability to use highlighting and annotation tools, they do not have the abilities to fully colorize a study. Additionally, there is a cost difference that comes into play. Typically, a radiologist will conduct their review of a study and dictate a report. If you ask for a re-review of the study and additional demonstrative aids, this task would typically be outside of their purview, incurring additional fees at expert witness rates. This could often be thousands of dollars and ultimately the client or patient only receives highlighted images and/or annotations.
What is the cost of colorizing a diagnostic study?
Please refer to the pricing page.
What is the difference between a static and animated colorized study?
Static studies are similar to printed copies of a study. They cannot be altered and are not dynamically presented. The ideal use case is within a side-by-side comparison of black-and-white studies. Animated studies can transition from black-and-white to colorized. They are best suited for specifying a study’s conclusions during a presentation or through witness testimony.
Do insurance carriers and Defendants really place value on colorized diagnostic studies?
Yes. Both insurance carriers and Defendants know that when it comes to trial, a jury is going to learn about the bias a retained expert has in a case due to the amount of money they have been paid in the case or overtime by that specific insurance company and defense firm. A way to amplify this bias, is to colorize a diagnostic study to allow a jury to understand why the Plaintiff’s expert opinion is more credible.
How is Illutamy, Inc different from other companies that colorize diagnostic studies?
There are several ways Illutamy, Inc stands out from our competitors. Illutamy, Inc was founded by combining the skills of a seasoned trial attorney, a medical illustrator and two software architects. This group created a better way to integrate the use of technology with medical illustration and trial strategy to create colorized studies that are easy for individuals with no medical training to understand. Additionally, by developing machine learning tools and proprietary technology, Illutamy, Inc has developed a method to deliver accurate colorized imaging in a fraction of the traditional turnaround time.
What is a static colorized study?
This would be a colorized image that contains no animations. It is a flat image which can be used in a side-by-side comparison with the typical black-and-white study.